多年糖尿病,如何判断自己的糖尿病,病情轻重
发布时间:2019-12-28 11:01来源: 未知我们常常抢救的心肌梗死患者中,如果患者合并糖尿病,那么他的血管大多数都比较糟糕,因为糖尿病对血管的损害,常常是弥漫性的。
		
糖尿病如果发现早,正规控制,那么问题不大,但是如果早期没有发现,或者发现了并没有积极正规的控制,那么真是从头到脚都会遭罪。
糖尿病多年,我们如何判断自己的病情是轻是重?
首先最简单最初步的判断就是血糖是否正常,当然血糖包括空腹血糖,餐后血糖,最重要还有就是糖化血红蛋白,这三个指标代表近期血糖的情况。
但因为糖尿病多年,我们最关心的就是靶器官有没有损害:
		
第一、微血管病变:
		
查一个尿常规,当发现尿蛋白时,一定要当心,这个时候已经进入糖尿病肾病3期,慢慢发展,晚期发展为肾衰竭。注意调整药物,检测血糖情况。
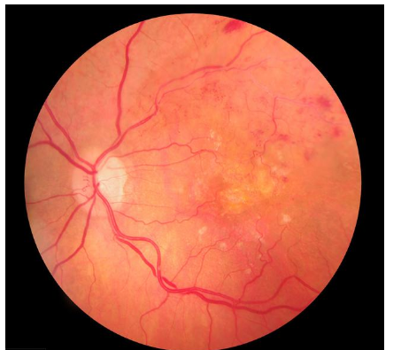
查查眼底,视物模糊、视网膜病变、白内障均是糖尿病合并的微血管病变,注意若早期发现,注意及时治疗。若出现有视物模糊,且不断加重情况,那需注意或许是糖尿病视网膜病变,病程越长几率便更高,所以糖尿病人群需半年检查一次眼底。
第二、大血管病变:
		
有一个非官方说法,那就是说得了糖尿病就是得了冠心病,有一部分人因为糖尿病感觉迟钝,即使发生心肌缺血,有时候心绞痛也不明显,所以糖尿病的患者如果出现胸闷气短心慌等等即使不是疼痛的表现,也需要重视,别以为不是心绞痛。必要的情况下,可行平板实验,冠脉CT或冠脉造影等检查。还可以四肢及颈部彩超检查,了解四肢动脉及颈动脉是否有斑块或狭窄。
第三、糖尿病足:
血糖控制不佳,血管神经损害,伤口不愈合,容易破溃,只能截肢后才能好转!
		
第四、神经系统病变:
有的患者心绞痛或心梗都不知道疼,那是因为糖尿病周围神经病变,可出现肢体麻木、感觉性共济失调、亦可累及颅神经及脊神经。早起可表现肢体麻木或感觉异常,注意及时就医排除其他神经系统疾病。
		
第五、昏迷
持续高血糖,失代偿期后,会出现恶心、呕吐或腹痛,极度口渴、尿量明显增多等,并常伴有头痛、烦躁、嗜睡,呼吸深大,呼气气味如烂苹果味,面颊潮红,口唇樱红。并发休克或心肾功能不全。晚期各种反射迟钝甚至消失,最终昏迷。
糖尿病的并发症高达100多种,是目前并发症最多的一种疾病。
		
我们一定要早预防早发现早控制糖尿病,要不后悔莫及;我们判断自己糖尿病控制如何的时候,除了要查空腹血糖、餐后血糖、糖化血红蛋白以外,根据个人情况还需要看看有没有并发症出现,如果有那就说明情况在加重。
所以说糖尿病并不可怕,可怕的是我们无视糖尿病的态度。

